皓齿口腔 因齿闪耀!
联系我们:400-839-2968
您的位置: 皓齿口腔 > 医生 > 石国龙
所属医院 :武汉清华阳光口腔医院
医生职称 :主治医师
诊疗项目 : 牙齿修复,牙周治疗,补牙,牙齿美白
发布时间:2022-05-12 15:04:21 阅读:
联系我们
申请优惠
任职医院
武汉清华阳光口腔医院
种植牙,牙齿矫正,牙齿美白,儿童牙科,补牙,牙周治疗,牙齿修复
评论
热门评论
匿名用户:
一直都想来种植牙齿,在网上做了很多功课,了解了很多关于种植牙的信息,牙齿问题还是比较重,蛀牙一大堆,有几颗牙齿都快被蛀虫吃完了。来这边医生先是给我做了全面的口腔检查,然后还做个个CT,给我认真讲解了种植牙的好处,反正不损坏也是一直可以用,手术过程打了麻药,疼痛感很少,全程都很轻松,体验感非常的不错。
2022-05-12 15:23:36
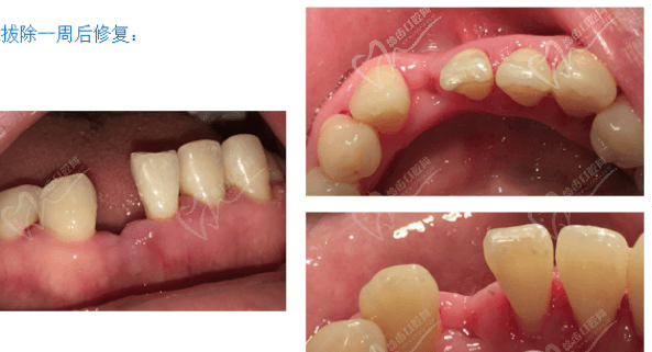
近来有位患者来咨询小编,问武汉清华阳光口腔石国龙医生技术如何?想找他修复一下牙齿,不知道好....[查看全文]
2022-05-12 15:11:35
口腔优惠
更多>
苏州美奥感恩节大回馈来咯,2颗及以上种牙享减免,感恩节种牙更实惠
2025-11-21 18:17:42
珠海同步口腔门诊部多项口腔项目价格实惠,隐形矫正15999元起,洁牙68元起
2025-11-16 18:31:02
南通初恋医疗美容割双眼皮价格2000元起,多种方案可选,轻松实现眼部蜕变
2025-11-15 15:06:01
珠海九龙医院医美项目价格大公开,隆胸、双眼皮、隆鼻、吸脂各有实惠价
2025-11-15 14:59:02
珠海科美医疗美容门诊部隆鼻7000元起、双眼皮3000元起,多项医美价格大公开
2025-11-15 14:52:01