您的位置: 皓齿口腔 > 口腔攻略 > 武汉清华阳光口腔石国龙医生技术如何?做牙齿修复怎么样?
发布时间:2022-05-12 15:11:35
阅读:
近来有位患者来咨询小编,问武汉清华阳光口腔石国龙医生技术如何?想找他修复一下牙齿,不知道好不好,今天就和大家一起来了解一下这位医生,有想了解的小伙伴也可以多关注一下哦!
![]()
武汉清华阳光口腔石国龙,毕业于湖北科技学院口腔医学系,医学学士学位,曾经先后在武大口腔医院、武汉大学中南医院学习进修,拥有扎实的口腔理论基础和丰富的临床经验。主要擅长于补牙、现代根管治疗,美学修复、嵌体、瓷贴面修复等项目。
![]()
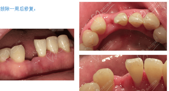
来看一则石国龙医生的真人病例:
患者已经四十多岁了,由于重度的牙周炎所以拔除了一颗牙齿,准备3-6个月后进行种植修复,在这期间需要树脂粘接桥(过渡性义齿)修复。
![]()
经过测量了邻牙宽度和缺牙区宽度,选择合适长度的树脂纤维带。由于下颌牙多数也出现松动的情况,要进行牙周基础治疗后,再进行纤维带松动牙固定+缺失牙修复。
![]()
虽然与烤瓷桥和种植义齿修复相比间接树脂粘接桥技术在远期疗效上存在一定的不足,但是粘接桥还是存在很大的适用空间。
(1)对基牙的磨除量较小,甚至不磨牙,患者容易接受特别是一些中老年人群。一般不会对将来其他的修复方法造成影响。
![]()
(2)可以作为前牙拔除后的过渡修复一般牙齿拔除至牙槽吸收静止大概需要3个月时间。即刻义齿对于面容和发音要求严格的患者来说很重要而粘接桥作为即刻义齿可以避免可摘义齿对拔牙创前合的影响,且舒适度、美观性更胜出一筹。
![]()
(3)粘接桥在进行个别牙缺失修复的同时其至可以充当治疗牙周炎的固定式恒久夹板。这时基牙的数目需要适当的增加。
看了石国龙医生医生的真人病例,是不是觉得技术很不错的呢,如果大家也有想找他看牙的小伙伴,那么就抓紧时间前来咨询预约喽!
我最近在武汉清华阳光口腔找石国龙医生做牙齿修复,感觉他的技术真心不错!他对我的牙齿情况进行了详细的分析,特别是在树脂粘接桥的应用上,让我感到很安心,几乎没有磨牙,恢复也很快。医生的耐心和专业让我对后续的种植修复充满信心,强烈推荐给需要牙齿修复的小伙伴们!
来自网友点评 | 发布于2025-08-10 05:15:26
口腔优惠
苏州美奥感恩节大回馈来咯,2颗及以上种牙享减免,感恩节种牙更实惠
2025-11-21 18:17:42
珠海同步口腔门诊部多项口腔项目价格实惠,隐形矫正15999元起,洁牙68元起
2025-11-16 18:31:02
南通初恋医疗美容割双眼皮价格2000元起,多种方案可选,轻松实现眼部蜕变
2025-11-15 15:06:01
珠海九龙医院医美项目价格大公开,隆胸、双眼皮、隆鼻、吸脂各有实惠价
2025-11-15 14:59:02
珠海科美医疗美容门诊部隆鼻7000元起、双眼皮3000元起,多项医美价格大公开
2025-11-15 14:52:01
珠海韩妃医疗美容门诊部项目价格大汇总,鼻修复、双眼皮、超声炮等收费详情在这
2025-11-15 14:45:02
口腔美容