皓齿

皓齿口腔 因齿闪耀!

联系我们:400-839-2968

您的位置: 皓齿口腔 > 医院 > 广州牙德堡口腔门诊部(越秀总院)

广州牙德堡口腔门诊部(越秀总院)

广州牙德堡口腔门诊部(越秀总院)

诊疗项目种植牙,牙齿矫正,牙齿美白,补牙,儿童牙科,牙周治疗,牙齿修复,口腔颌面外科

医院地址 :广东省广州市越秀区东风中路439号二层自编号E单元

联系我们

申请优惠

更新时间:2024-07-01 13:34:38阅读:

项目价格:

广州牙德堡口腔半口活动义齿6000元起,夜间接诊至21点,社区惠民价更划算

广州牙德堡口腔半口活动义齿6000元起,夜间接诊至21点,社区惠民价更划算

你是否正在为牙齿缺失问题而烦恼?想做半口活动义齿,却又担心价格昂贵、就诊时间不方便?别着急,广州牙德堡口腔为你带来了福音!广州牙德堡口腔半口活动义齿仅需6000元起,而且夜间接诊至21点,社区惠民价更....[查看全文]

2025-10-28 14:21:02

广州牙德堡口腔下颌正位智齿拔除480元起,5分钟无痛搞定,专业医生手稳技术强

广州牙德堡口腔下颌正位智齿拔除480元起,5分钟无痛搞定,专业医生手稳技术强

你是否因为下颌正位智齿而烦恼不已,却又对拔牙充满恐惧?别担心,广州牙德堡口腔为你带来福音!广州牙德堡口腔下颌正位智齿拔除只需480元起,短短5分钟就能无痛搞定。这里的专业医生技术精湛、手稳如磐,让你轻....[查看全文]

2025-10-28 08:27:01

广州牙德堡口腔皓齿美白1800元起 冷光技术30分钟亮白3年

广州牙德堡口腔皓齿美白1800元起 冷光技术30分钟亮白3年

你是否还在为牙齿不够洁白而烦恼?想要拥有自信灿烂的笑容却苦于找不到合适的牙齿美白项目?别担心,广州牙德堡口腔的皓齿美白项目来帮您解决难题!现在,只需1800元起,就能体验采用冷光技术的皓齿美白,仅需3....[查看全文]

2025-10-27 15:45:02

广州牙德堡口腔MRC儿童早期矫正5000元起,黄金期干预让孩子牙齿赢在起跑线

广州牙德堡口腔MRC儿童早期矫正5000元起,黄金期干预让孩子牙齿赢在起跑线

孩子的牙齿健康,一直是家长们关注的焦点。在众多口腔医院中,广州牙德堡口腔为大家带来了福音,其MRC儿童早期矫正项目仅需5000元起。这个价格相比扬州牙管家口腔医院的6000元起,更具性价比。在广州牙德....[查看全文]

2025-10-27 13:32:01

广州牙德堡口腔时代天使comfos隐形矫正15000元起 30副轻松搞定龅牙拥挤

广州牙德堡口腔时代天使comfos隐形矫正15000元起 30副轻松搞定龅牙拥挤

还在为牙齿不整齐而烦恼吗?想要悄悄变美又担心矫正费用太高、过程痛苦?别愁啦!广州牙德堡口腔推出的时代天使comfos隐形矫正项目,价格超实惠,15000元起就能开启你的矫正之旅,而且只需30副牙套,就....[查看全文]

2025-10-26 15:40:02

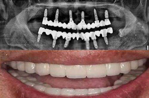
广州牙德堡口腔半固定半口种植牙种植牙2万元起,张兴博士亲诊即刻负重,告别缺牙烦恼!

广州牙德堡口腔半固定半口种植牙种植牙2万元起,张兴博士亲诊即刻负重,告别缺牙烦恼!

广州牙德堡口腔半口种植牙仅需2万元起,就能享受张兴博士亲诊带来的即刻负重技术,让患者告别缺牙烦恼。缺牙会影响美观,给日常饮食和社交带来不便,而该口腔推出的半固定半口种植牙项目,以亲民价格、专业医生团队....[查看全文]

2025-10-26 11:54:01

广州牙德堡口腔陶瓷自锁矫正12000元起 王曼医生亲诊隐形正畸效果惊艳

广州牙德堡口腔陶瓷自锁矫正12000元起 王曼医生亲诊隐形正畸效果惊艳

你是否因为牙齿不整齐而不敢自信地微笑?是否在寻找一家靠谱的口腔医院进行矫正?今天就给大家介绍广州牙德堡口腔的陶瓷自锁矫正项目。在2026广州越秀区牙德堡口腔价格表中,正畸矫正项目里陶瓷自锁托槽(透明材....[查看全文]

2025-10-26 08:07:02

广州牙德堡口腔贵金属烤瓷牙1500元起,黄金内冠更密合,笑容自然又持久

广州牙德堡口腔贵金属烤瓷牙1500元起,黄金内冠更密合,笑容自然又持久

你是否还在为牙齿问题而烦恼,比如氟斑牙影响美观,或者牙体缺损带来的不便?别担心,广州牙德堡口腔为你带来了理想的解决方案——贵金属合金烤瓷牙,只需1500元起!这种烤瓷牙采用黄金内冠,密合度极佳,能让你....[查看全文]

2025-10-25 16:21:02

广州牙德堡口腔数字化固定义齿5000元起,3D定制舒适贴合,张兴医生团队专攻疑难修复

广州牙德堡口腔数字化固定义齿5000元起,3D定制舒适贴合,张兴医生团队专攻疑难修复

你是否正在为牙齿缺失问题而烦恼?想要拥有一口健康整齐的牙齿却又担心价格太贵或者佩戴不舒适?别着急,广州牙德堡口腔来帮您解决难题!广州牙德堡口腔数字化固定义齿只需5000元起,就能让您体验到3D定制的舒....[查看全文]

2025-10-25 08:48:02

广州牙德堡口腔398元起深度洁牙套餐 超声波+喷砂抛光 告别烟渍茶渍

广州牙德堡口腔398元起深度洁牙套餐 超声波+喷砂抛光 告别烟渍茶渍

你是否还在为牙齿上的烟渍、茶渍而烦恼?想要拥有一口洁白干净的牙齿却又担心价格太贵?现在,广州牙德堡口腔为你带来了超值福利!只需398元起,就能享受深度洁牙套餐,包含超声波洁牙、喷砂以及抛光服务。广州牙....[查看全文]

2025-10-24 17:00:02

广州牙德堡口腔罗慕儿童早期矫治4000元起,5岁起夜戴就能悄悄变整齐!

广州牙德堡口腔罗慕儿童早期矫治4000元起,5岁起夜戴就能悄悄变整齐!

家有萌娃的家长们注意啦!广州牙德堡口腔推出的罗慕儿童早期干预矫治项目,价格超划算,4000元起就能让孩子开启牙齿矫正之旅。想象一下,孩子不用经历传统矫正的痛苦,只需每晚睡觉时戴上小小的矫治器,牙齿就能....[查看全文]

2025-10-24 13:13:03

广州牙德堡口腔3M-z350树脂补牙仅需300元起,抗压耐磨持久美观,拯救你的蛀牙危机!

广州牙德堡口腔3M-z350树脂补牙仅需300元起,抗压耐磨持久美观,拯救你的蛀牙危机!

你是否正在为蛀牙问题而烦恼?别担心,广州牙德堡口腔为你带来了福音!广州牙德堡口腔3M - z350树脂补牙仅需300元起,就能帮你解决蛀牙危机。3M Z350树脂材料具有优异的抗压抗磨损性能,耐久性强....[查看全文]

2025-10-24 09:26:02

广州牙德堡口腔埋伏智齿拔除380元起 刘皓医生微创技术当天消肿

广州牙德堡口腔埋伏智齿拔除380元起 刘皓医生微创技术当天消肿

还在为埋伏阻生智齿而烦恼吗?广州牙德堡口腔为您带来福音!广州牙德堡口腔埋伏智齿拔除380元起,由经验丰富的刘皓医生亲诊,采用微创技术,让您当天就能消肿,轻松解决智齿难题。接下来,就带您详细了解广州牙德....[查看全文]

2025-10-23 12:29:03

广州牙德堡全口BPS吸附性义齿1.2万元起,啃排骨都不掉!夜诊至21点超贴心

广州牙德堡全口BPS吸附性义齿1.2万元起,啃排骨都不掉!夜诊至21点超贴心

还在为全口缺牙烦恼吗?广州牙德堡口腔推出的全口BPS吸附性义齿项目,绝对是您的福音!只需1.2万元起,就能拥有稳固耐用的义齿,啃排骨都不掉!这可不是夸张,是实实在在能达到的效果。广州牙德堡口腔作为社区....[查看全文]

2025-10-22 16:32:03

广州牙德堡王曼医生时代天使KID儿童矫正11000元起,4岁起告别龅牙地包天!

广州牙德堡王曼医生时代天使KID儿童矫正11000元起,4岁起告别龅牙地包天!

还在为孩子的龅牙、地包天等牙齿问题发愁吗?广州牙德堡口腔为您带来福音!现在,广州牙德堡王曼医生时代天使KID儿童矫正11000元起,4岁以上的孩子就能告别龅牙地包天啦!牙德堡口腔是2024年6月新开业....[查看全文]

2025-10-21 17:10:04

广州牙德堡口腔低位智齿拔除480元起,技术强口碑好,越秀区拔牙首选!

广州牙德堡口腔低位智齿拔除480元起,技术强口碑好,越秀区拔牙首选!

如果你正在为低位智齿的问题而烦恼,那么广州牙德堡口腔绝对是你的不二之选!广州牙德堡口腔低位智齿拔除仅480元起,在这里,有着技术精湛的医生团队,凭借先进的技术和丰富的经验,为每一位患者提供专业的服务。....[查看全文]

2025-10-20 14:56:03

广州牙德堡口腔张兴博士亲诊:半口种植牙2万元起当天戴牙吃饭,即刻负重不遭罪!

广州牙德堡口腔张兴博士亲诊:半口种植牙2万元起当天戴牙吃饭,即刻负重不遭罪!

还在为半口牙齿缺失而烦恼吗?广州牙德堡口腔为您带来福音!张兴博士亲诊,广州牙德堡口腔all - on - 6半口种植牙仅需2万元起,就能让您当天戴牙吃饭,即刻负重不遭罪!想象一下,不用经历漫长的等待和....[查看全文]

2025-10-17 14:19:17

广州牙德堡口腔儿童乳牙拔除99元起,无痛操作让宝宝轻松告别乳牙期

广州牙德堡口腔儿童乳牙拔除99元起,无痛操作让宝宝轻松告别乳牙期

孩子到了换牙期,乳牙迟迟不掉可愁坏了家长们。别担心,广州牙德堡口腔为大家带来了福利,儿童乳牙拔除项目只需99元起!在这里,专业的医生团队会采用无痛操作,让宝宝轻松告别乳牙期。广州牙德堡口腔一直致力于为....[查看全文]

2025-10-16 14:32:02

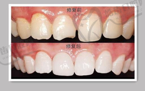
广州牙德堡口腔E-MAX铸瓷贴面7360元起,超薄0.2mm不磨牙,黄牙秒变明星牙

广州牙德堡口腔E-MAX铸瓷贴面7360元起,超薄0.2mm不磨牙,黄牙秒变明星牙

你是否因为牙齿发黄、有缺损而不敢自信地露出笑容?别担心,广州牙德堡口腔为你带来了福音——E - MAX铸瓷贴面修复项目。现在,只需7360元起,就能让你的牙齿焕然一新,拥有明星般的洁白美牙。广州牙德堡....[查看全文]

2025-10-16 14:03:02

广州牙德堡口腔百齿泰种植牙1880元起,童木钦医师亲诊,缺牙重生不花冤枉钱!

广州牙德堡口腔百齿泰种植牙1880元起,童木钦医师亲诊,缺牙重生不花冤枉钱!

还在为缺牙问题烦恼不已吗?想要重拾灿烂笑容却又担心费用高昂?现在,广州牙德堡口腔带来了福音!单颗国产百齿泰种植牙仅需1880元起,由经验丰富的童木钦医师亲诊,让您缺牙重生不花冤枉钱!在广州牙德堡口腔,....[查看全文]

2025-10-15 16:56:37

广州牙德堡口腔威兰德全瓷冠4500元起,高端品质省千元还送免费口扫

广州牙德堡口腔威兰德全瓷冠4500元起,高端品质省千元还送免费口扫

你是否正在为牙齿问题烦恼,却又担心高昂的治疗费用和复杂的治疗流程?现在,广州牙德堡口腔为你带来了福音!德国威兰德全瓷冠,仅需4500元起/颗,相比广州市场均价5500 - 7000元,能为你节省千元开....[查看全文]

2025-10-15 16:55:41