广州牙德堡口腔门诊部(越秀总院)
是由广州市越秀区卫生健康局审批成立的正规口腔门诊部
![]()
卫健委正规资质:
省份:广东省
审批机关: 广州市越秀区卫生健康局
登记号: MAD9QKRP144010416D1522
地址:广州市越秀区东风中路439号二层自编号E单元
诊疗科目: 口腔科******
级别:无级别
法定代表人:林志伟
主要负责人:卢潘
执业许可证有效期:2024/05/29 -至- 2029/05/28
![]()
广州牙德堡口腔门诊部怎么样?
开业时间:2024年
门诊简介:广州牙德堡口腔门诊部(越秀总院)是由广州市越秀区卫生健康局审批成立的正规口腔门诊部,是广州越秀区有名的数字化智能齿科机构,院内开设有数字化种植中心、数字化美学正畸中心、牙周治疗中心、牙体牙髓治疗中心、儿童齿科中心、综合治疗中心等科室,能根据不同患者的牙齿情况制定个性化诊疗方案。院内坐诊有资历深厚的口腔医生,专攻各类常见口腔疾病治疗、以及疑难种植、复杂正畸项目。广州牙德堡口腔收费公开透明,价格实惠竞争力大,专注于让广大牙友享受到高性价比的优质口腔服务。
广州牙德堡口腔门诊部地址:广州市越秀区小北路越秀城市广场
广州牙德堡口腔门诊部电话:18011**0697(直接留电咨询预约!)
![]()
广州牙德堡口腔门诊部基本情况:
营业时间:周一至周日 09:00-18:00
医生数量:5名认证医生
设施服务:免费WiFi、充电线、充电宝、在线预约
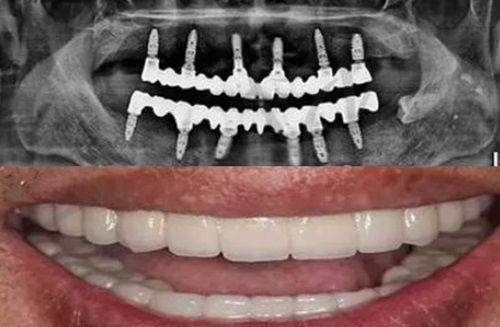
特色项目:种植牙、正畸
常规项目:微创种植、即刻种植、all-on-4/6半口全口即刻负重种植、骨量不足植骨种植、高龄疑难种植、单颗种植、多颗复杂种植、隐形矫正、金属自锁托槽矫正、陶瓷半隐形矫正、美学修复、牙齿美白、儿童齿科、牙周治疗、牙体牙髓治疗、补牙、补牙、洗牙、牙贴面、烤瓷牙、全瓷牙、根管治疗。
![]()
广州牙德堡口腔门诊部医生介绍:
张兴:广东省的口腔种植牙名家,广州市的口腔疾病防治中心技术指导中心副主委员等。擅长即刻种植、微创种植、微创即刻种植、数字化种植、全口/半口牙颌种植、疑难种植牙等。
王曼:口腔科主治医生,擅长龋齿检测、正畸检查、残根残冠拔除、全口半口牙颌种植、隐形矫正、牙周炎等。
关云:口腔科主治医生,擅长根管治疗、放大镜下刮治、根尖刮治、金属自锁托槽矫正、陶瓷自锁托槽矫正等。
孙浩:口腔儿童医生,擅长儿童龋病、儿童牙痛、牙周炎,儿童涂氟、儿童早期矫正、儿童拔牙、儿童补牙、窝沟封闭等。
卢潘:口腔科主治医生,擅长牙龈萎缩、牙周炎、假牙修复、牙齿护具、舌侧矫正、皓齿美白、牙托美白等。
![]()
广州牙德堡口腔门诊部来院路线:
附近地铁:
仓边路 - 地铁站44米
途经地铁: 地铁13号线二期
农讲所 - 地铁站598米
途经地铁: 地铁1号线
纪念堂 - 地铁站916米
途经地铁: 地铁2号线
小北 - 地铁站1.0公里
途经地铁: 地铁5号线
公园前 - 地铁站1.1公里
途经地铁: 地铁1号线 地铁2号线
![]()
附近公交:
正骨医院① - 公交站98米
途经公交车: 74路 80路 133路 185路 209路 229路 297路 B3路 B4A路 B4路 广276路 夜18路 夜19路
法政路 - 公交站135米
途经公交车: 76A路 220路
正骨医院② - 公交站138米
途经公交车: 2路 27路 56路 62路 74路 80路 133路 185路 204路 209路 229路 261路 284路 293路 518路 B4A路 B4路 B4路快线 广276路 广276路夜间特班 广283路 广283路班车
![]()
附近停车场:
越秀城市广场-地下停车场,65米
广州市越秀区东风中437号、439号、445、447号
时代地产中心-地下停车场,67米
广州市越秀区东风路410-412号仓边路86-118号
小北路东侧临时停车点,83米
广州市越秀区小北路越秀城市广场西侧
翠怡大厦-地下停车场,86米
广州市越秀区法政路翠怡大厦
![]()

牙齿因为蛀牙,有些缺损,一直想补牙,但又担心补牙会很疼。后来在牙德堡口腔找关云医生补牙,关医生很细心,给我做了局部麻醉,补牙的过程一点也不疼,而且补牙的效 果很 好,跟真牙一样!
来自网友点评|发布于2024-11-06 11:54:14 广州牙德堡口腔门诊部(越秀总院)