皓齿

皓齿口腔 因齿闪耀!

联系我们:400-839-2968

您的位置: 皓齿口腔 > 牙齿修复 > 门牙磕掉一小块怎么修复?点击了解不同情况下门牙的修复方法

门牙磕掉一小块怎么修复?点击了解不同情况下门牙的修复方法

发布时间:2024-02-29 15:33:30

阅读:

门牙作为我们牙齿的“明星”,不仅负责咀嚼食物,还关系着我们的仪表和笑容。如果门牙碰坏或磕掉一小块,该怎么修复呢?下面我们就来看看门牙受损后的后果和修复方法。

一、门牙受损的后果

门牙受损后会导致以下一些不良后果:

影响外观与笑容的美观

影响发音,说话不清晰

危害口腔卫生,易引起牙齿疾病

影响正常咀嚼功能

破坏牙齿的完整性,继续扩大受损范围

因此,一旦发现门牙有缺损或碎裂,我们要及时采取措施进行修复。门牙磕掉一小块怎么修复?点击了解不同情况下门牙的修复方法

二、门牙常见的损伤原因

导致门牙受损的原因可能有:

外力撞击:如运动时被球击中、跌倒磕碰等造成门牙脱落或断裂

食物咬合:如咬硬物、啃冰等导致门牙表面脱落

牙齿疾病:如龋病、牙周病导致门牙损伤

不当的牙齿美白:如漂白剂浓度过高导致牙釉质脱落

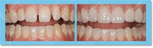
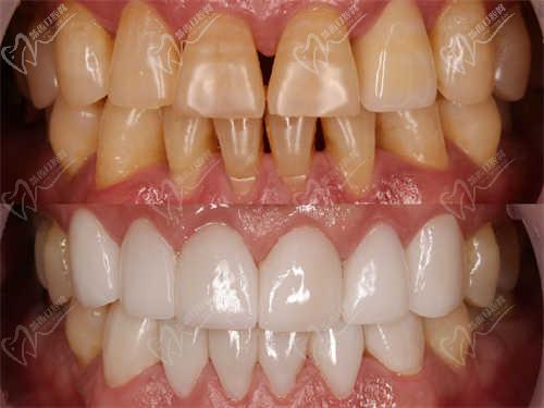
三、门牙修复的方法

门牙修复主要有直接修复法和间接修复法两种。

1 直接修复法

直接修复法是在损伤的门牙上直接进行修复,常用的方法包括:

树脂充填:用树脂材料填充磕掉的部分,操作简单,修复周期短,但长期耐用性稍差。

贴面技术:使用瓷薄片贴在损伤表面,美观度好,但不适合大面积修复。

全瓷贴面:采用全瓷材料贴面,寿命更长,适合前牙美观要求高的修复。

烤瓷修复:制作烤瓷冠覆盖损伤牙,功能和美观效 果都好,是修复门牙较常用的方法。门牙磕掉一小块怎么修复?点击了解不同情况下门牙的修复方法

2 间接修复法

间接修复法是通过辅助装置来修复门牙,包括:

桥式修复:需要磨除门牙两侧好牙,制作桥搭 进行修复。

种植牙:在牙槽骨内植入人工牙根,进行种植固定修复。

门牙在不同的损伤情况下,可以选择不同的修复方法:

如果门牙只是磕掉了一小块,可以考虑采用微创修复的方法,如单颗牙美容修复、局部补牙等,以较好地恢复门牙的美观。

如果门牙断裂较多或有牙体破坏,可以进行牙齿缺损重建,例如种植牙、牙冠修复、牙根管治疗等复杂修复,以恢复咀嚼功能。

如果门牙损伤面积较小,可以采用直接修复法,如树脂充填、贴面修复、烤瓷修复等。这类修复操作简单,周期短。

如果门牙损伤较大,无法直接修复,可以考虑间接修复法,如桥式修复、种植牙修复等。这需要磨除相邻牙齿,手术复杂,但功能好。

如果门牙完全脱落,可以根据残留牙槽骨情况,选择种植牙修复活动义齿修复。种植牙舒适度高,但费用也更高。门牙磕掉一小块怎么修复?点击了解不同情况下门牙的修复方法

四、修复门牙应注意的事项

在修复门牙时,需要注意以下事项:

根据门牙受损的范围选择恰当的修复方法

修复材料要与口腔组织相容,颜色要与原牙相匹配

修复后要保持口腔卫生,定期复查

选择正规的医院和资 深的牙医进行修复

修复后注意饮食,不要咬硬物,以保护修复体门牙磕掉一小块怎么修复?点击了解不同情况下门牙的修复方法

五、如何保护门牙

我们还要在日常生活中注意保护门牙:

培养刷牙、漱口等良好的口腔卫生习惯

注意饮食,不要过度饮用含糖饮料,少吃硬食物

定期进行牙科检查,及时治疗存在的牙齿疾病

不要乱漂白牙齿,避免漂白剂导致牙釉质损伤门牙磕掉一小块怎么修复?点击了解不同情况下门牙的修复方法

门牙受损会影响外观和口腔健康,我们要及时采取恰当的修复措施。同时也要从保护的角度出发,养成良好的口腔卫生习惯,定期进行牙齿检查,让我们的门牙健康洁白。

点评

看看其他人的评价(2)

网友202593481726

我最近门牙磕掉了一小块,真是心急如焚。根据这篇文章的建议,我选择了树脂充填,操作简单,效果也不错。修复后笑容恢复了自信,真心推荐大家及时修复门牙,别让小问题影响了大形象!

来自网友点评 | 发布于2025-07-15 04:30:26   

网友202591043191

我之前也磕掉了一小块门牙,真是心急如焚。按照文章的建议,我选择了树脂充填,修复过程简单快捷,结果也不错,几乎看不出来。现在我更加注重口腔卫生,定期检查,避免再出现类似情况。

来自网友点评 | 发布于2025-07-06 04:19:02