皓齿

皓齿口腔 因齿闪耀!

联系我们:400-839-2968

您的位置: 皓齿口腔 > 牙齿修复 > 牛牙症是什么意思?附上名词解释,回答牛牙症的临床表现有哪些

牛牙症是什么意思?附上名词解释,回答牛牙症的临床表现有哪些

发布时间:2023-10-12 10:53:00

阅读:

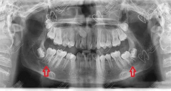
牛牙症是什么意思?牛牙症名词解释:是一种牙齿发育畸形,表现为牙髓腔扩大,牙髓底部顶 端位移,并且在釉-牙骨质界面位置没有出现其他变化。这种病症的名称来源于其形态特征,即牙齿外形类似于牛的牙齿。那么牛牙症的临床表现有哪些?下面将详细介绍牛牙症的基本概念、临床表现、好发牙位以及诊断标准。

牛牙症

一、牛牙症是什么意思?

牛牙症是一种牙齿发育畸形,表现为牙髓腔扩大,牙髓底部顶 端位移,并且在釉-牙骨质界面位置没有变化。这种病症的名称来源于其形态特征,即牙齿外形类似于牛的牙齿。

二、牛牙症的临床表现有哪些?

牛牙症的临床表现主要有以下几个方面:

牛牙症

1、牙齿外形异常:牛牙症患者的牙齿外形通常比正常牙齿大,尤其是近中邻面和远中邻面,并且牙齿的颈部较宽。这种外形异常的牙齿往往呈现为宽而扁的形状,类似于牛的牙齿。

2、牙髓腔扩大:通过X线检查可以发现,牛牙症患者的牙髓腔明显扩大。这是由于在牙齿发育过程中,牙髓腔的发育与牙齿形态发育不匹配所导致的。

3、牙髓底部顶 端位移:在牛牙症患者中,牙髓底部往往向上位移,导致牙髓腔底部与牙齿顶部之间的距离增加。这种位移可能是由于牙髓腔扩大后,受到上方压力的作用而产生的。

4、釉-牙骨质界面位置不变:在牛牙症中,釉-牙骨质界面的位置不会发生变化。这意味着虽然牙齿外形和结构发生了改变,但牙齿在口腔中的位置并没有受到影响。

牛牙症

三、牛牙症好发牙位

牛牙症多见于磨牙,有文献报道下颌第一前磨牙的发生率为0.4%,而下颌第2前磨牙出现牛牙症的概率更低。其他牙齿如切牙、尖牙和前磨牙等较少发生牛牙症。

牛牙症

四、牛牙症诊断标准

诊断牛牙症主要依据临床表现和X线检查。以下是一些常用的诊断标准:

1)牙齿外形异常:这是诊断牛牙症的主要依据。患者的牙齿外形通常宽而扁,类似牛的牙齿。

2)牙髓腔扩大:通过X线检查可以发现患者的牙髓腔明显扩大,尤其是在根尖部。

牛牙症

3)牙髓底部顶 端位移:X线检查显示牙髓底部向上位移,导致牙髓腔底部与牙齿顶部之间的距离增加。

4)釉-牙骨质界面位置不变:即使牙齿外形和结构发生了改变,但釉-牙骨质界面的位置并没有受到影响。

5)无其他口腔疾病:除了牙齿发育畸形外,患者没有其他口腔疾病的症状和体征。

结合以上表现和检查可诊断为牛牙症。对于罕见的临床表现或诊断困难的病例,可能需要进行组织病理学检查以确诊。

牛牙症

除了上述提到的临床表现和诊断标准,牛牙症还有一些其他的特征和考虑因素。

五、遗传和环境因素导致牛牙症

牛牙症是一种遗传和环境因素共同作用的结果。一些研究表明,家族中有牛牙症病史的人更容易出现这种牙齿发育畸形。此外,孕期和孕期后期的母体和环境因素也可能对胎儿牙齿的发育产生影响,导致牛牙症的发生。

牛牙症

六、牛牙症的治疗方法

由于牛牙症是一种牙齿发育畸形,因此治疗方法主要取决于畸形的程度和患者的需求。以下是一些常用的治疗方法:

1】牙齿矫正:对于轻度至中度的牛牙症,可以使用牙齿矫正来改善牙齿排列和咬合关系。这通常需要使用矫正器,如牙套或隐形矫正器,来逐步移动牙齿。

2】牙齿修复:对于较重的牛牙症,可以考虑使用牙齿修复方法,如烤瓷冠或全瓷冠来改变牙齿的形状和大小。这些方法通常需要将牙齿磨小并覆盖上人造冠,以改善牙齿的外观和功能。

牙齿修复

3】牙齿美容:对于极重度的牛牙症,可能需要进行牙齿美容来改善牙齿外观。这包括使用美容修复技术,如贴面或全冠美容修复,以改善牙齿的颜色、形状和大小。

4】预防措施:为了避免牛牙症的发生,孕妇应该注意保持良好的营养和健康生活习惯,避免接触有害物质,如辐射和药物等。同时,定期进行产前检查和遗传咨询也是必要的。

牙冠修复

总之,牛牙症是一种牙齿发育畸形,主要表现为牙髓腔扩大、牙髓底部顶 端位移和牙齿外形异常等症状。这种病症可以发生在任何年龄阶段,但常见于儿童和青少年时期。对于治疗方法的选择应该根据患者的具体情况而定,同时预防措施也是避免牛牙症发生的关键。


点评

看看其他人的评价(4)

网友202579602348

我之前一直不知道牛牙症是什么,最近在做牙科检查时医生提到过。听说这种畸形会让牙齿变得宽而扁,外形真的很奇怪。X光检查时看到牙髓腔扩大,感觉有点担心。希望能尽快找到合适的治疗方案,不然对咬合和美观都会有影响。

来自网友点评 | 发布于2025-09-01 23:30:30   

网友202524135709

我之前一直不知道牛牙症是什么,最近在看牙医时了解到这个病症。医生说我有些牙齿外形异常,确实比正常的牙齿要大,特别是磨牙。后来做了X光检查,发现牙髓腔也比正常人要大,真的是让我大开眼界。虽然不算严重,但还是让我对牙齿健康更加重视了。希望大家都能定期检查,及时发现问题。

来自网友点评 | 发布于2025-08-07 13:30:28   

网友202597140625

我之前也听说过牛牙症,看到这篇文章后才明白它的具体表现。牙齿外形异常确实很明显,尤其是磨牙部分,感觉就像是牛牙一样。X线检查显示牙髓腔扩大,也让我意识到这不仅仅是外观问题,可能还会影响口腔健康。希望能有更多人了解这个病症,及时就医。

来自网友点评 | 发布于2025-08-01 12:00:33   

网友202562663902

我之前一直不知道牛牙症是什么,近在牙科检查时医生提到了这个问题。看到牙齿外形异常和牙髓腔扩大的描述,我才意识到自己可能有类似症状。牙齿的宽扁形状确实让我有些困扰,尤其在咬合时感觉不太自然。希望能找到合适的治疗方法来改善我的牙齿状况。

来自网友点评 | 发布于2025-07-19 17:34:02