皓齿

皓齿口腔 因齿闪耀!

联系我们:400-839-2968

您的位置: 皓齿口腔 > 牙齿修复 > 看预成冠图片告诉你预成冠是什么?附预成冠的适应症和禁忌症

看预成冠图片告诉你预成冠是什么?附预成冠的适应症和禁忌症

发布时间:2023-07-17 18:13:06

阅读:

预成冠(也称为冠融合或预制冠)是一种牙科修复技术,用于恢复牙齿的形状和功能,多用于少年儿童口腔作为牙齿修复的一种牙冠。为了便于大家理解预成冠是什么意思,看以下预成冠图片告诉你预成冠是什么?通过了解以下预成冠的适应症和禁忌症可以帮你更好的保护好牙齿哦。

预成冠图片

看预成冠图片告诉你预成冠是什么?

常见预成冠有金属预成冠、树脂透明预成冠。预成冠就是在乳牙大面积的龋坏或缺损、乳牙根管治疗后一般会为了保护乳牙采取的一种修复或者保护措施。

以下2种预成冠图片:

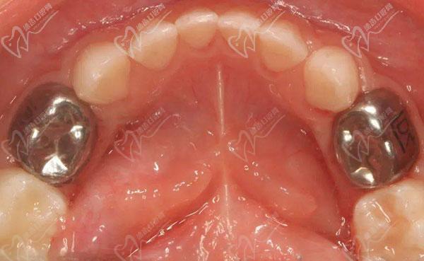
金属预成冠:

金属预成冠

金属预成冠通常会用于后牙,贴合的包裹后牙并保护牙齿,加强牙齿强度,保护恒压和乳牙能够正常替换。

树脂透明预成冠:

树脂透明预成冠

树脂透明预成冠一般会用于前牙的修复。树脂预成冠是一种外壳呈透明,但内部是树脂材质的牙冠,与牙齿形态、颜色接近,一般用于前牙部位。

预成冠是什么

预成冠的适应症和禁忌症

预成冠的适应症主要包括以下几种情况:

1. 牙齿损坏:当牙齿受到磨损、断裂或裂开,无法通过常规修复方法(如补牙、树脂复合修复)修复时,预成冠是一种常用的选择。预成冠可以完全包覆受损的牙齿,恢复其形状和功能。

2. 牙齿缺失:如果患者的牙齿缺失,无法通过其他修复方法(如义齿、假牙桥梁)进行补充,则预成冠是一种有效的替代选择。预成冠可以定制成与邻近牙齿相似的形状和颜色,恢复牙齿间的美观性和牙齿咀嚼功能。

预成冠的适应症和禁忌症

3. 牙齿龋齿过多:当患者的牙齿存在多个龋齿,需要进行整体性修复时,预成冠是一种常见的治疗方法。通过在受损牙齿上安装预成冠,可以有效修复龋齿,并提供更强大的保护和支撑。

4. 牙齿美容修复:如果患者有牙齿色素沉积、变色等美观问题,需要进行美容修复时,预成冠是一种理想的选择。预成冠可以完全遮盖牙齿表面,改善牙齿的外观,使其与自然牙齿更相似。

预成冠的适应症和禁忌症

以下是一些常见的预成冠禁忌症情况:

1. 缺乏牙体支持:在进行预成冠之前,患者需要有足够的健康牙体支持,以确保预成冠的稳定性和长期成功。如果患者的牙齿根部受损或不适合支持预成冠,如牙周病导致的牙齿松动等情况,预成冠可能不适用。

2. 牙齿周围炎症:患者存在牙周炎或牙周疾病时,预成冠可能不适合使用。由于牙周炎导致的牙龈肿痛和口腔感染可能会干扰预成冠的安装和成效。

3. 牙齿过敏:患有对接触金属材料过敏的患者可能不适合使用预成冠。因为预成冠多由金属或其他材料制成,对金属过敏的患者可能出现口腔不适和不良反应。

预成冠的适应症和禁忌症

4. 口腔卫生问题:如果患者存在口腔卫生问题,如龋齿、牙龈问题、牙周疾病等未得到治疗,预成冠可能不适合使用。口腔卫生问题可能会导致预成冠的固位不稳,进而影响修复成效。

5. 其他牙齿问题:如果患者存在其他的牙齿问题,如牙根骨质破坏、根尖周围感染、根管疾病等,可能不适合使用预成冠。这些问题可能需要进行根管治疗或其他类型的修复,而不是仅仅使用预成冠。

预成冠的适应症和禁忌症

通过以上预成冠图片的介绍告诉你预成冠是什么?预成冠是一种牙科修复技术,可用于恢复牙齿磨损、断裂或缺失的牙齿,一般常用于少年儿童口腔牙齿修复。当然预成冠还有一些适应症和禁忌症各位牙友也需要牢记哦,这样才能更好的保护好牙齿。

如有疑问或需要也可以留电给我们的客服人员,帮您预约、查询周边正规口腔医院近期项目价格和优惠,希望对您有所帮助。

点评

看看其他人的评价(2)

网友202551626629

我之前给孩子做了预成冠,结果真的不错!金属预成冠非常坚固,保护了他的后牙,恢复了咀嚼功能。树脂透明的前牙冠也很自然,孩子的笑容更自信了。虽然有些禁忌症需要注意,但整体体验让我觉得很满意,值得推荐给其他家长!

来自网友点评 | 发布于2025-07-29 12:17:02   

网友202535138089

我之前给孩子做了预成冠,结果真的很不错!金属预成冠非常坚固,保护了他的后牙,避免了进一步的损坏。而树脂透明的那种则让前牙看起来很自然,孩子的笑容又回来了。了解了适应症和禁忌症后,我觉得选择预成冠是个明智的决定,真心推荐给有类似需求的家长们!

来自网友点评 | 发布于2025-07-24 02:27:01   

热搜关键词: