树脂牙冠和全瓷牙冠区别有哪些?作为两种常见的牙冠材料,它们在修复牙齿方面都具有重要的作用。然而,很多人对于树脂牙冠和全瓷牙冠之间的区别和选择感到困惑。本文将从材质、外观、耐久性和价格等方面,深入探讨树脂牙冠和全瓷牙冠的区别,以及树脂牙和全瓷牙哪个好?等问题,一起来看看吧!
![]()
问题一:树脂牙冠和全瓷牙冠区别有哪些?
树脂牙冠和全瓷牙冠是两种常见的牙齿修复方式,它们在材质、价格、使用寿命和性能等方面存在一定的差异。
1. 材质不同
树脂牙冠:树脂牙冠通常由固化的复合树脂材料制成,具有较好的柔韧性和咬合性。树脂材料能够模拟自然牙齿的颜色,使修复后的牙齿看起来更加自然。
全瓷牙冠:全瓷牙冠采用陶瓷材料制成,具有较高的透明度和美观度,高硬度、高耐腐蚀性等特点。全瓷材料能够更好地模拟自然牙齿的外观和光线透过性,使得修复后的牙齿更加有光泽感。
![]()
2. 价格不同
树脂牙冠:树脂牙冠相对较便宜,市面价格一般在400~800元左右,制作成本较低,适合预算有限的患者选择。
全瓷牙冠:全瓷牙冠的制作工艺复杂,材料成本较高,因此价格相对较高,市面价格一般在1200~3500元左右。
![]()
3. 使用寿命不同
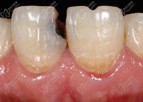
树脂牙冠:树脂牙冠相对较薄,相对容易磨损和变色,使用寿命较短,一般为3-5年左右,需要多次更换。一般适合临时修复或修复较小的牙齿缺损。
全瓷牙冠:全瓷牙冠由于使用的是坚固的陶瓷材料,具有较高的耐久性和强度,使用寿命较长,一般为10年左右,可以更好地保护牙齿。适合修复较大的牙齿缺损。
![]()
4. 性能不同
树脂牙冠:树脂牙冠的硬度适中,耐磨性差,在一定程度上可以修复牙齿。同时,树脂牙冠的颜色与牙齿相似,可以更好地还原牙齿的外观。此外,树脂牙冠的加工工艺简单,制作周期短,可以更快地完成牙齿修复。
全瓷牙冠:硬度较高,具有高透光性,与口腔组织的兼容性较高,可以更好地还原原先牙行的咀嚼功能。全瓷牙冠的耐磨性和抗染色性较好,可以更好地保护牙齿。此外,全瓷牙冠的加工工艺复杂,制作周期长,需要更成熟的技术和设备支持。
![]()
问题二:树脂牙和全瓷牙哪个好?
树脂牙和全瓷牙各有优缺点,无法简单地判断哪个更好,选择合适的牙齿修复材料应根据个人的具体情况来决定。
树脂牙冠通常由树脂材料制成,具有较低的成本和制作时间较短的特点。树脂牙冠的优点在于可以修复轻度的牙齿损伤,且与自然牙色相似,能够达到较好的美观疗效。然而,由于树脂材料相对较软,容易磨损和变色,不够耐久。因此,树脂牙冠更适合于临时修复或修复较小的牙齿缺损。
![]()
全瓷牙冠是由陶瓷材料制成,具有较好的耐久性和美观性。全瓷牙冠的优势在于其高强度和抗磨损性能,能够更好地模拟自然牙齿的外观和功能。它能够较好地抵抗牙冠下的压力,并且不会引起过敏反应。然而,全瓷牙冠的制作过程比较复杂,成本较高,且需要较长的制作时间。
![]()
综上所述,树脂牙冠和全瓷牙冠各有其优缺点,选择哪种假牙需要根据具体的牙齿情况以及患者的需求进行综合考虑。树脂牙冠的美观度和舒适性更优异,同时也不会存在金属过敏等现象。全瓷材料的特殊材质不易患龋病,可以保护牙髓及牙周组织,对牙龈刺激也较小。如果您希望牙齿修复更美观、更持久,可以选择全瓷牙冠;如果您希望价格更实惠、磨除的牙齿量较少,可以选择树脂牙冠。无论您选择哪种假牙,请务必遵循医生的建议和指导,以获取优良的修复疗效。
