您的位置: 皓齿口腔 > 口腔qq资讯 > 昆明德韩口腔医院怎么样?看种植牙顾客的真实评价和收费价格
申请优惠
发布时间:2021-07-07 16:24:41
阅读:
想知道昆明德韩口腔医院怎么样?正规吗?还有客户的真实反馈,收费价格那么你看这篇文章就够了,今天小编就实地了解了昆明德韩口腔医院。
昆明德韩口腔医院目前在云南有三家分店,昆明德韩口腔医院(欣都龙城机构 )、昆明德韩口腔医院(金鹰机构 )、昆明德韩口腔医院(东寺街机构)。是一家经卫健委批准的正规的口腔机构,开设了口腔种植、口腔正畸、口腔修塑、口腔美白、牙周中心、儿童齿科等多个科室,为昆明市民提供优质的口腔诊疗服务。
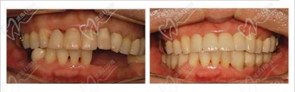
蒋小姐为了能让母亲享有“真牙”,我多方面了解了种植牙,因此我选择了带母亲去武汉德韩口腔医院做种植牙修复,在做了详细的检查之后采用了“即刻用”3D种植牙修复,没想到在短短的时间内便就修复了,当天便可享用美食,从外观来看和真牙没什么区别。
蒋小姐母亲“即刻用”3D种植牙术前术后分享
昆明德韩口腔医院“即刻用”3D种植牙技术有别于以往传统种植牙的弊端,德韩微创即刻种植牙具临床优势,成活率较高;骨结合牢,排斥率较低;手术时间短,全程微创,微痛;外形,宛若天生,是公认的、较的牙齿种植技术,其核心大致可总结为“快、准、精、微、恒五个字。”
快:即拔即种、手术时间约5-10分钟,坚固美齿一次性成型
准:准确定位,植入,无缝对接
精:精微每个细节、精细每个环节,精湛植入技巧
微:微小切口、微创微痛、快速愈合
恒:在德韩种牙,后期根据医嘱进行护理,可以使用很久
韩国奥齿泰种植体(颗)7800元起
韩国登腾种植体(颗)8800元起
美国HIOSSEN种植体(颗)12800元起
德国ICX种植体(颗)13800元起
诺贝尔种植体(颗)21800元起
瑞士ITI种植体(颗)23800元起
瑞士ITI亲水种植体(颗)35800元起
隐适美隐形矫正 46000元起
时代天使经典版 32000元起
金属托槽矫正 8800元起
昆明德韩口腔医院是一个非常正规和靠谱的口腔医院,性比价高,为昆明市民提供优质的口腔诊疗服务,是很多当地人口碑推荐的口腔医院。
恩,德韩口腔不错,去洁了牙,服务很好!
来自网友点评 | 发布于2021-07-08 18:52:20
口腔优惠
杭州天鑫整形国庆优惠价格清单来了!热玛吉5999元起,塑妍萃13800元
2025-09-28 14:01:22
上海艺星20周年庆典震撼开启!预存200抵2000更有五重豪礼等你来拿
2025-09-22 15:15:32
西安叶子医美宠粉节重磅来袭!5A认证机构的超值优惠清单请收好
2025-09-22 15:01:31
西安奕鸣眼科医院推出师恩润心活动,教师专享眼健康关爱计划全飞秒手术价格直降7300+
2025-09-10 15:50:43
重庆当代整形周年庆,整形、注射、美肤抗衰一站式变美,一年仅一次的优惠别错过!
2025-09-03 18:27:38
广大口腔(广州・佛山)口腔健康惠民活动:种植牙正畸优惠,多院名医坐诊
2025-09-02 18:58:24
口腔美容