一、长沙美奥口腔医院种植牙怎么样?
美奥口腔医院拥有个性化种植修复、美学修复种植、ALL-ON-4种植技术等多种种植技术,可为疑难复杂缺牙患者提供口腔全科联合诊疗,对基础较差的牙颌骨还可开展骨增量、上颌窦内外提升、穿颧种植等先进技术,尤其在中老年微创种植方面成就突出。
![]()
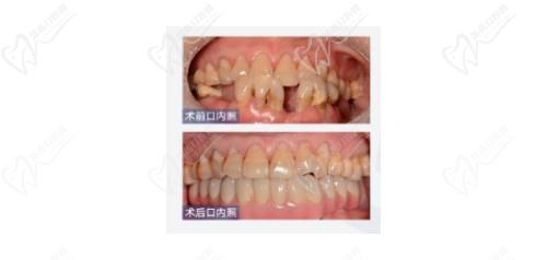
咱们一起来看长沙美奥口腔种植牙病例:
患者王女士(58岁),下颌多颗牙缺失多年,曾佩戴过活动义齿,但吃东西非常费劲、口腔溃疡频发,痛苦不已。
经长沙美奥口腔种植医生刘庆诊断,王女士下半口牙齿松动已达Ⅲ度,无法保留需拔除,牙龈状况良好,牙槽骨区域部分骨量情况良好。
刘庆医生与王女士充分沟通后,30分钟内就完成了“即拔即种当天戴牙”数字化微创种植方案的设计。完成种植牙手术后,王女士目前咀嚼功能已经恢复,下半口牙齿逼真美观,生活质量大大提升。
![]()
美奥口腔全程数字化诊疗精密闭环系统,能够为缺牙患者带来更加精细、安心、舒适、快捷的修复体验。术前进行详细的CBCT扫描,三位视角还原牙齿与牙槽骨宽度高度和角度,医生进行数字化方案设计,运用3D打印机进行种植导板的打印,进行微创的种植手术,牙冠也是当天佩戴,且有瓷睿刻椅旁修复系统进行数字化切削,现场制作,即刻戴牙。
![]()
二、长沙美奥口腔医院种植牙多少钱?
韩国奥齿泰种植牙:4580元起/颗
瑞典诺贝尔种植牙:9800元起/颗
瑞士iti种植牙:9800元起/颗
士卓曼沃兰种植牙:9980元起/颗
![]()
三、长沙美奥口腔医院是私立还是公办?是正规医院吗?
美奥口腔是国内正规连锁门诊,属私立牙科。美奥口腔已在上海、浙江、江苏、安徽、京津、湖南、新疆等多个省市开设分支机构30家,每个分院区均严格参考JCI标准建院,都拥有独立的楼层,单院面积远超同行机构,在实力规模方面非常强大。
长沙美奥口腔医院建立于2012年,经过长沙卫生管理部门批准成立,设立牙齿种植、牙齿正畸 、牙齿修复、牙齿治疗以及儿童齿科等科室,以高品质、高要求的医疗服务为就诊顾客提供“量身定制”的口腔医疗保健服务,让顾客就诊全程安心舒适。
![]()
以上就是本期关于长沙美奥口腔种植牙的相关分享,牙友们需要预约医院或看种植牙病例可以直接私信小编!
