皓齿

皓齿口腔 因齿闪耀!

联系我们:400-839-2968

您的位置: 皓齿口腔 > 口腔攻略 > 北京张栋梁医生正畸实例图片-偏颌/牙不齐/后缩/凸嘴/地包天等牙齿矫正实例汇总

北京张栋梁医生正畸实例图片-偏颌/牙不齐/后缩/凸嘴/地包天等牙齿矫正实例汇总

发布时间:2025-03-05 14:59:29

阅读:

如果您正在为牙齿不齐、嘴凸、下巴后缩、地包天等问题困扰,想要通过牙齿矫正改善面型和咬合,那么北京张栋梁医生将是您的理想选择。张栋梁医生正畸实例有哪些?通过他的多个成功实例,我们可以看到他在处理偏颌、牙不齐、下巴后缩、凸嘴、地包天等复杂牙齿问题上的出色能力。本文将为您详细汇总张栋梁医生正畸实例,展示张栋梁医生的正畸技术~北京张栋梁医生正畸实例图片

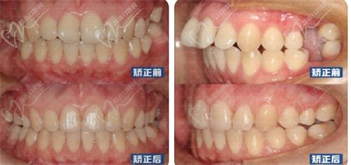
一、张栋梁医生开唇露齿、下巴后缩,牙齿矫正实例图片

实例描述

一位10岁男孩因嘴凸、下巴后缩、门牙有缝等问题前来就诊。临床检查发现,男孩为高角骨性I类面型,伴有下巴后缩、嘴唇松软肥厚、闭唇困难以及散在间隙等症状。

矫正方案

针对男孩的情况,张栋梁医生制定了不拔牙矫正方案。通过扩弓和排齐牙齿,利用上颌的间隙进行内收前牙,改善上颌前突和下巴后缩的问题。

矫正结果

经过25个月的牙齿矫正治疗,男孩的牙齿建立了正常的咬合关系,上颌内收,颏部前伸,侧面形态得到良好改善。上下牙弓匹配,整体面型也获得了一定程度的改善。张栋梁医生开唇露齿、下巴后缩,牙齿矫正实例图片

二、张栋梁医生嘴凸下巴后缩缺失牙,牙齿矫正改善侧貌实例图片

实例描述

一位女士主诉嘴凸、牙凸、后牙缺失等问题。临床检查发现,她存在露龈笑、牙不齐、上前牙唇倾重度、双侧髁突狭窄等问题,且左侧下颌6、7缺失,右侧上颌6、下颌6缺失。

矫正方案

张栋梁医生为女士设计了上颌拔除5号牙并打骨钉的矫正方案。通过牵引两侧智齿前移关闭缝隙,省去种牙步骤,同时调整嘴凸和下巴后缩的面型。

矫正结果

牙齿矫正结束后,女士的牙齿前突得到了良好改善,侧颜变成了好看的直面型。全牙列咬合建立达到预期目标要求,成功拥有了健康的咬合和理想的侧颜。张栋梁医生嘴凸下巴后缩缺失牙,牙齿矫正改善侧貌实例图片

三、张栋梁医生不拔牙矫正解除上颌前突、下颌后缩实例图片

实例描述

一位女孩主诉牙不齐和下巴后缩,希望通过牙齿矫正修复牙齿整齐,改善没下巴的情况,并减轻关节压力。

矫正方案

结合女孩的具体情况,张栋梁医生制定了不拔牙矫正方案+推磨牙向后,并选择隐形牙套进行治疗。在矫正过程中,时刻监控转矩的变化,及时增加支抗,并确定功能颌平面和下前牙的位置以及后牙高度。

矫正结果

通过隐形矫治对颌平面的控制,下颌颌平面的整平有利于下颌前伸。女孩的上颌前突和下颌后缩问题得到了有效改善,牙齿排列整齐,关节压力也得到了减轻。张栋梁医生不拔牙矫正解除上颌前突、下颌后缩实例图片

四、张栋梁医生双颌前突、下巴后缩,牙齿矫正导出下巴实例图片

实例描述

一位女士主诉牙不齐、拥挤、嘴凸、没下巴等问题。临床检查发现,她存在牙弓狭窄、II度拥挤、双颌前突和颏部后缩等问题。

矫正方案

根据女士的需求,张栋梁医生制定了拔除正畸牙的矫正方案。通过关闭间隙、建立后牙高度和稳定咬合,改善双颌前突和下巴后缩的问题。上颌排齐并内收上前牙,修复上颌牙弓正常形态;下颌排齐并内收下前牙,匹配上下牙弓形态,并整平下颌颌平面,引导下巴前伸。

矫正结果

在牙齿矫正过程中,女士配合良好。牙齿和咬合都修复良好,侧貌也得到了特别大改善。双颌前突和下巴后缩的问题得到了有效解决。张栋梁医生双颌前突、下巴后缩,牙齿矫正导出下巴实例图片

五、张栋梁医生面中凹陷、牙齿不齐,牙齿矫正调整面型实例图片

实例描述

一位女生主诉门牙缝隙大、牙齿不齐以及“地包天”面型,希望通过牙齿矫正调整牙齿问题并改善面型美观。

矫正方案

通过牙片资料检查发现,女生存在骨性III类倾向、上颌发育不足、下颌颏部前突、鼻基底凹陷、前牙2-2缺失、门牙有缝、中线不齐以及个别牙反颌等问题。张栋梁医生制定了不拔牙矫正方案,采用隐形牙套控制牙根往外推,牙冠往里内收,改善上颌发育不足和面中凹陷的问题。同时,通过调整上后牙和下后牙的高度,控制下颌的位置和运动,改善“地包天”面型。

矫正结果

牙齿矫正后,女生的鼻、唇、颏、面部的状态修复美观协调,面中凹陷问题得到改善。牙齿排列整齐,覆合覆盖正常,咬合良好,想要的笑线也做好了。张栋梁医生面中凹陷、牙齿不齐,牙齿矫正调整面型实例图片

六、张栋梁医生青少年地包天面型,不拔牙矫正改善实例图片

实例描述

一位青少年患者在生长发育高峰期阶段前来就诊,主诉“地包天”面型问题。希望通过牙齿矫正改善牙齿和面型问题。

矫正方案

由于患者处于生长发育高峰期阶段,张栋梁医生考虑采用不拔牙矫正方案。利用推磨牙远中直立和隐形牙套协调牙弓形态,获取空间解除前牙反颌。同时,控制牙根外移2mm以改善面中凹陷问题,并升高后牙高度、内收下颌以调整反颌的外貌。

矫正结果

牙齿矫正结束后,患者的牙齿角度修复正常,咬合关系良好,“地包天”面型得到了改善。面下三分之一也得到了协调,整体面型更加美观。张栋梁医生青少年地包天面型,不拔牙矫正改善实例图片

通过以上6个典型实例的展示,我们可以看到北京张栋梁医生在牙齿矫正领域的技术实力和丰富经验。无论是偏颌、牙不齐、后缩、凸嘴还是地包天等问题,张栋梁医生都能根据患者的具体情况制定个性化的矫正方案,并取得令人满意的矫正成效。如果您也有牙齿矫正的需求,不妨考虑询问北京张栋梁医生,相信他能为您带来理想的牙齿和面型改善。

相关推荐:

看了张栋梁个人资料简介,去北京禾禾花6万找他做舌侧矫正解决了骨性龅牙

张栋梁正畸去北 口还是禾禾?去禾禾齿科在线挂号更方便还有优惠

避坑!北京正畸圈大佬名单曝光:是徐宝华/张栋梁/周彦恒/刘坦,附评价+挂号攻略!

北京张栋梁矫正比周彦恒矫正怎么样?通过正畸实例做选择

北京张栋梁正畸水平怎么样?他做牙齿矫正技术好还实惠属实吗?

北京禾禾齿科正畸医生名单-张栋梁/黄帅/李志鹏正畸都不错价格便宜

北京正畸医生张栋梁到底好不好?从简介正畸实例了解正畸医生张栋梁怎么样

北京正畸圈对张栋梁的评价如何?张栋梁口腔医生是不是骗子

口腔

点评

看看其他人的评价(0)