所属医院 :武汉大学口腔医院
医生职称 :主任医师
诊疗项目 : 种植牙,单颗种植,多颗种植,半口种植,全口种植,韩国登腾Dentium种植牙,韩国奥齿泰Osstem种植牙,瑞典诺贝尔Nobel种植牙,瑞士ITI种植牙,韩国安美齿IBS,美国3I种植体,德国ICX,美国皓圣Hiossen,韩国DIO,华西cdic,美国百康Bicon,德国xive,德国Camlog,瑞典astra,韩国登特斯Dentis,韩国美格真MegaGen,德国贝格Bego,德国ANKLAS种植牙,瑞士士卓曼Straumann,意大利西泰克C-Tech,韩国仕诺康Snuc,美国杰美Zimmer,国产莱顿BLB,国产威高WEGO,以色列丹特因Dentin,以色列柯特斯CORTEX,穿颧种植,all-on-4种植牙,穿翼板种植牙技术,即刻种植牙,瑞士百丹特种植体,法国安卓健Anthogyr种植体,上颌窦提升术,韩国纽百特NeoBiotech种植体,美国百好瑞biohorizons种植体
发布时间:2025-10-22 09:44:36 阅读:
联系我们
申请优惠
评论
(已有 0 人点评)在口腔医学领域,有许多非凡的医生以不错的医术和高尚的医德为患者带来福音。武汉大学口腔医院的周毅医生便是其中的杰出代表。他在牙种植和口腔修复领域深耕多年,凭借丰富的经验和出色的技术,赢得了患者的广泛赞誉。下面,让我们一起深入了解这位非凡的口腔医生。

周毅是拥有正规执业资格的口腔医师,他具备深厚的专精知识和扎实的临床技能,大家可以放心找他看诊。他不仅是博士、主事医师、副医生,还是硕士研究生导师,在口腔医学领域有着极高的专精地位。

周毅毕业于武汉大学,为了提升自己的专精水平,他曾在美国加州大学洛杉矶分校(UCLA)牙学院进行博士后研究,还在德国图宾根大学进行临床研修。这些海外学习和研修的经历,让他接触到了国内外前列的口腔医学理念和技术,为他的临床和科研工作奠定了坚实的基础。
现就职于武汉大学口腔医院,担任中华口腔医学会口腔修复专委会常委、老年口腔医学专委会委员、ICOI国内分会常务理事、湖北省口腔修复专委会副主事委员和口腔美学专委会常委等重要职务。他主要从事牙种植和口腔修复的临床和教学工作,在该领域有着丰富的经验和出色的成就。
近年来,他筹建了武汉大学口腔医院光谷院区口腔种植和修复中 心,并带领该中 心获得了2024年医院标兵科室荣誉称号,还参与建立了医院第一个多学科诊疗门诊。在学术研究方面,他成果斐然,在种植体周组织反应机制、数字化种植修复精度优化等研究中取得突破,发表SCI论文32篇,实现获国内专项9项,参与起草4项国内团标。

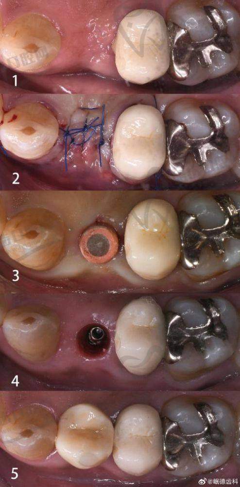
周毅医生在种植牙领域有着极高的造诣。他是口腔种植和口腔修复两个首批国内临床重点专科的骨干成员,在医院先开展了穿颧种植等一系列高难度手术和治疗项目,折断种植体螺丝取出技术处于国内外领跑地位。
他凭借丰富的临床经验和不错的技术,能够根据患者的具体情况制定个性化的种植方案,确保种植成效的美观和功能的修复。同时,他注重手术的安心性和舒适性,尽可能减少患者的痛苦。许多患者在接受周毅医生的种植牙手术后,都对成效非常满意,称赞他的技术高超、服务贴心。

周毅医生就职于武汉大学口腔医院,该医院是一所集医疗、教学、科研、预防、保健为一体的大型三等级甲等口腔专科医院,在口腔医学领域享有盛誉。医院拥有精良的医疗设备和专精的医疗团队,为患者提供高质量的口腔医疗服务。

曾有一位老年患者,由于牙齿缺失多年,生活受到了较大的影响。患者在多家医院询问后,都对治疗方案不太满意。后来,患者找到了周毅医生。周毅医生经过详细的检查和评估,为患者制定了个性化的种植牙方案。在手术过程中,周毅医生凭借不错的技术,顺利完成了种植手术。术后,患者修复良好,牙齿功能得到了明显改善,生活质量也大大提高。患者对周毅医生的技术和服务非常满意,特意送来锦旗表示感谢。

种植牙的价格会受到多种因素的影响,如种植体的品牌、型号、患者的口腔情况等。一般来说,单颗种植牙的价格在5000 - 20000元左右。具体的价格还需要患者到医院进行详细的检查和评估后,由医生根据患者的具体情况确定。

患者可以通过以下几种方式预约周毅医生的门诊:
1. 医院官网或微信公众号:患者可以登录武汉大学口腔医院的法定网站或微信公众号,在预约挂号板块选择周毅医生的门诊进行预约。
2. 电话预约:患者可以拨打武汉大学口腔医院的预约挂号电话,按照语音提示选择周毅医生的门诊进行预约。
3. 现场预约:患者也可以直接到医院的挂号窗口或自助挂号机处,选择周毅医生的门诊进行现场预约。

1. “周毅医生技术不错,态度和蔼可亲。我之前牙齿缺失,一直不敢种牙,担心会特别疼。在朋友的推荐下,我找到了周毅医生。他耐心地为我讲解了种植牙的过程和注意事项,让我消除了顾虑。手术过程非常顺利,术后修复也特别快。现在我的牙齿和真牙一样,非常感谢周毅医生!”
2. “周医生是一位非常负职责的医生。我妈妈牙齿不好,周医生为她制定了详细的治疗方案。在治疗过程中,周医生总是细心地照顾我妈妈,让我们非常感动。现在我妈妈的牙齿问题得到了良好的解决,我们全家都特别感激周医生。”
3. “周毅医生的专精水平特别高,他在种植牙领域有着丰富的经验。我在他这里做了种植牙手术,成效非常好。他不仅技术好,而且服务也特别周到。在术后还会定期回访,关心我的修复情况。我会向身边的朋友推荐周毅医生。”
4. “周毅医生是一位值得信赖的好医生。他对待患者非常认真负责,会根据患者的具体情况制定个性化的治疗方案。我在他这里做了种植牙,整个过程都特别顺利,没有感觉到任何不适。现在我的牙齿已经完全修复了,非常感谢周毅医生。”