所属医院 :天津和平赛德阳光口腔门诊部
医生职称 :院长
诊疗项目 : 牙齿矫正,金属非自锁托槽矫正,3M金属自锁托槽矫正,陶瓷自锁矫正,隐适美Invisalign,儿童早期矫正
发布时间:2022-02-09 10:32:02 阅读:
联系我们
申请优惠
评论
(已有 1 人点评)热门评论
匿名用户:
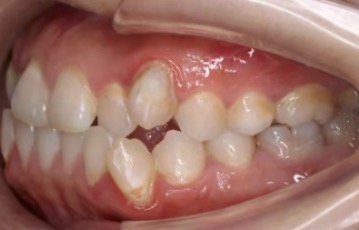
戴隐适美的第十一个月,第二十六副牙套,结果很明显,再来对比之前的牙齿,好多人都说我牙齿变齐了。在这边林医生的指导下也更注意牙齿健康了,没有出现想象中的带完牙套牙变差的情况。换牙套有轻微不适感但不会太疼,不影响吃饭,牙齿也没有松动的情况。感谢林范医生和所有为我看诊医生的、温柔和耐心,消除了我一直以来对看牙医的恐惧。非常期待矫正完成后变得更好的时候~

2022-02-09 10:43:45
天津赛德阳光口腔----林范
![]()
荣誉资质:
★北京大学口腔正畸学博士
★赛德阳光口腔天津分院院长、医疗总监
★原天津市口腔医院正畸专科医师
★*******口腔正畸专委会(COS)委员
★*******(CSA)会员
★Invisalign隐适美矫治技术中国大陆认证医师
擅长项目:
成人综合正畸治疗、儿童及青少年早期正畸治疗、Invisalign隐适美隐形矫治技术、微型螺钉种植体支抗技术、低摩擦轻力矫治技术等。
林范医生现任赛德阳光口腔天津分院院长,从事口腔诊疗工作近二十年,有着非常丰富的临床工作经验,尤其擅长于牙齿矫正领域,不仅精通于传统的金属矫正,对于各种隐形矫正、半隐形矫正也十分在行。多年来已经帮助了众多牙齿不整齐的患者重新恢复健康口腔,也是赢得了患者的好评与认可。